We are a translational neurosurgery lab dedicated to understanding and treating hemorrhagic stroke

Close-up microscopic view of intracranial aneurysm tissue showing inflammation detected with immunoliposme.
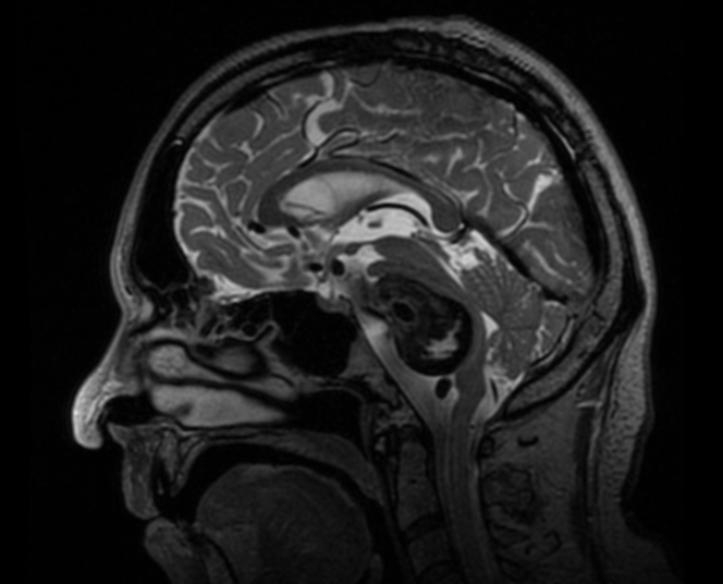
MRI scan of a human brain with giant Basilar artery aneurysm

Our aims

The RJ-Lab advances translational neurosurgery through pioneering research on hemorrhagic stroke, vascular malformations, and cerebrospinal fluid (CSF) therapeutics.

We investigate the causes and mechanisms of hemorrhagic stroke—including aneurysms, arteriovenous malformations (AVMs), cavernous malformations (CCMs), and dural AV fistulas—to understand why bleeding occurs in the brain.

When hemorrhage strikes, our mission is to develop and translate therapies that protect the brain and improve patient outcomes, combining basic science, bioengineering, and clinical trials to create innovative strategies for CSF modulation and neuroprotection.

A black-and-white CT scan of a brain, showing three different cross-sectional views: axial, coronal, and sagittal, patient suffered from spontaneous ICH and intraventricular bleeding

Hemorrhagic Stroke: A Devastating Yet Understudied Burden

A Hemorrhagic stroke occurs when a blood vessel ruptures within or around the brain, causing bleeding that damages neural tissue and disrupts cerebrospinal fluid circulation. Unlike ischemic strokes, which result from vessel occlusion, hemorrhagic strokes often strike younger individuals and lead to higher mortality and long-term disability.

The most common causes are intracranial aneurysms, arteriovenous malformations (AVMs), cerebral cavernous malformations (CCMs), and dural arteriovenous fistulas (DAVFs) — as well as spontaneous intracerebral hemorrhage related to hypertension or small-vessel disease. These vascular anomalies can rupture suddenly, leading to life-threatening bleeding such as:

  • Subarachnoid hemorrhage (SAH) — bleeding into the cerebrospinal fluid spaces around the brain, often from a ruptured aneurysm.

  • Intracerebral hemorrhage (ICH) — bleeding directly into the brain tissue.

  • Intraventricular hemorrhage (IVH) — bleeding into the brain’s ventricular system, frequently complicating SAH or ICH.

Each year, over 1 million people in Europe and the United States suffer from hemorrhagic stroke. Despite representing only about 15–20% of all strokes, it accounts for nearly half of all stroke-related deaths and the majority of neurological disability among younger patients. Survivors often face chronic complications including hydrocephalus, seizures, vasospasm, and cognitive decline.

At RJ-Lab, we study the mechanisms, prevention, and recovery pathways of hemorrhagic stroke — bridging basic science, bioengineering, and clinical research to develop innovative treatments and protect the brain when bleeding occurs.

Portrait of a young man with brown hair, green eyes, and light skin, wearing a white chef's jacket with a blue collared shirt underneath, standing against a plain white background.

  • About the Principal Investigator

    Dr. Behnam Rezai Jahromi is a neurosurgeon-scientist and academic leader at Helsinki University Hospital Department of Neurosurgery whose work bridges microsurgical precision, translational neuroscience, and technological innovation. His research focuses on hemorrhagic stroke, cerebrovascular malformations, and cerebrospinal fluid (CSF) manipulation as an emerging therapeutic frontier.

    As Head of the Neurovascular & CSF Innovation Lab at the University of Helsinki and HUS, Dr. Rezai-Jahromi leads multidisciplinary projects investigating the pathogenesis and treatment of intracranial aneurysms, arteriovenous malformations, cerebral cavernous malformations, and spontaneous intracerebral hemorrhage. His work spans the full translational spectrum—from basic mechanistic studies to clinical application.

    He also serves as President of the ACE Society (Active Cerebrospinal Exchange Society) and leads several international research consortia dedicated to advancing hemorrhagic stroke research and CSF-based therapies, with the goal of improving outcomes for patients with neurovascular disease

Meet the senior scientists

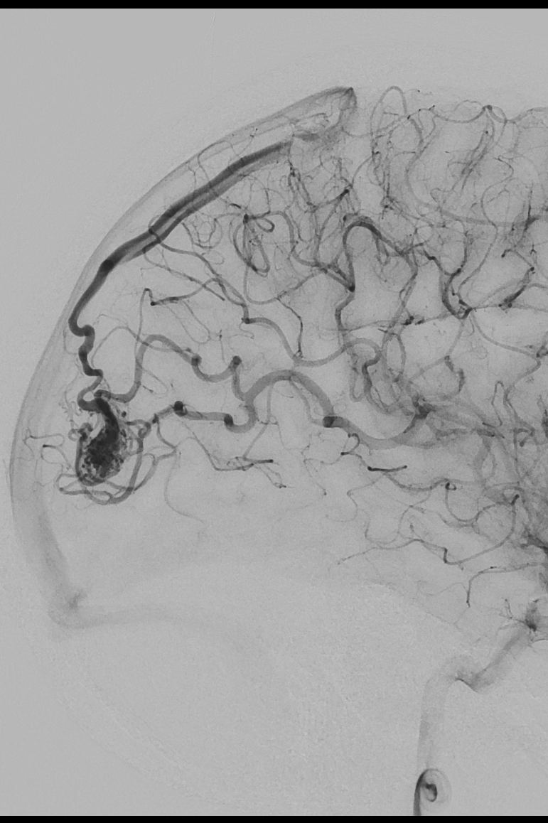
Intracranial Aneurysms

  • Intracranial aneurysms are abnormal dilations of cerebral arteries that can rupture and cause life-threatening subarachnoid hemorrhage. Their formation is influenced by genetic, hemodynamic, somatic mutations and inflammatory factors that weaken the vessel wall over time. Research in this field seeks to uncover the molecular mechanisms of aneurysm initiation, growth, and rupture, develop predictive biomarkers, and refine surgical and endovascular treatments to prevent bleeding and improve patient outcomes.

Arteriovenous Malformation

  • Arteriovenous malformations are congenital vascular anomalies characterized by direct, high-flow connections between arteries and veins without an intervening capillary bed, leading to chronic hemodynamic stress on fragile vessels. Their development and clinical behavior are shaped by genetic susceptibility, aberrant angiogenic signaling, somatic mutations, and local inflammatory and biomechanical factors. Research in this field aims to elucidate the molecular and cellular mechanisms driving AVM formation, progression, and rupture; identify biomarkers and imaging features that predict hemorrhage risk; and optimize microsurgical, endovascular, and radiosurgical strategies to reduce bleeding risk and improve long-term neurological outcomes.

Cerebral Cavernous Malformations

  • Cerebral cavernous malformations are clusters of dilated, thin-walled capillary channels with slow or absent blood flow that predispose to recurrent microhemorrhages and, in some cases, symptomatic intracerebral bleeding. Their pathogenesis is closely linked to inherited or sporadic genetic mutations, endothelial dysfunction, impaired blood–brain barrier integrity, and chronic inflammatory signaling within the lesion microenvironment. Research in this field focuses on defining the molecular pathways underlying lesion genesis and instability, discovering biomarkers and imaging correlates of hemorrhage risk, and refining surgical and emerging medical strategies to prevent bleeding and preserve neurological function.

Cerebrospinal Manipulation in Hemoraghic Stroke

  • Cerebrospinal fluid manipulation through active CSF exchange is an emerging therapeutic strategy aimed at modifying the intracranial microenvironment in acute and chronic neurological disease. By actively controlling CSF composition, temperature, and flow dynamics, this approach seeks to reduce neurotoxic metabolites, inflammatory mediators, and blood breakdown products while restoring physiological homeostasis. Research in this field focuses on defining the underlying pathophysiological mechanisms, identifying patients most likely to benefit, and translating experimental insights into safe, evidence-based clinical interventions that improve neurological outcomes.

Let’s Stay in Touch

Have a question, collaboration idea? We are always seeking for new talent. Reach out today and we will explore how we can move science forward—together.

Follow Us On Social